

32万円
(税込35.2万円)
60万円
(税込66万円)
3年

| 診療時間 | 月 | 火 | 水 | 木 | 金 | 土 | 日 |
|---|---|---|---|---|---|---|---|
| 12:00〜20:30 | ● | / | / | ● | ● | / | / |
| 10:30〜19:00 | / | / | / | / | / | ● | ● |
休診日:火曜・水曜・祝日




マウスピース型矯正装置の
スペシャリスト
髙橋 邦明
Kuniaki Takahashi

◾️インビザライン
◾️総額 600,000円(税抜)
◾️インビザライン
◾️総額 600,000円(税抜)
◾️インビザライン
◾️総額 600,000円(税抜)
◾️インビザライン
◾️総額 600,000円(税抜)
◾️インビザライン
◾️総額 600,000円(税抜)
◾️インビザライン
◾️総額 320,000円(税抜)
◾️インビザライン
◾️総額 600,000円(税抜)
検査費用や治療後の調整・保定費用を含めた総額を事前にご提示するため、治療が進むにつれて費用が予想以上に増えるといった心配がありません。
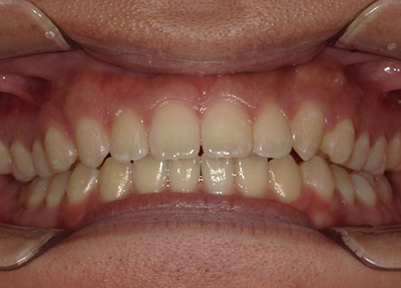
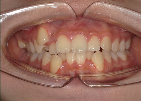
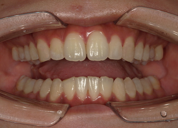
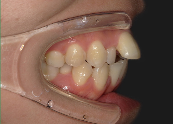
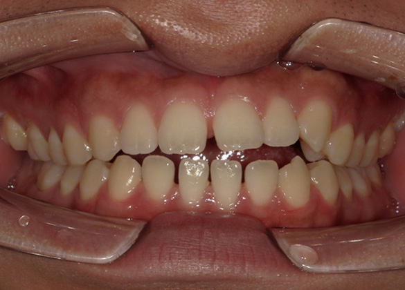
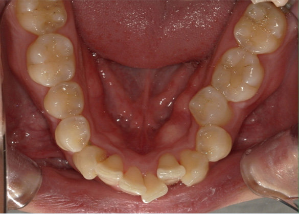
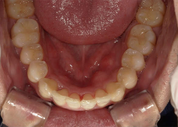
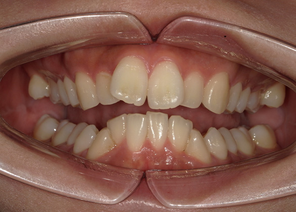
治療期間2年半
マウスピース90枚
治療期間1年
マウスピース30枚
治療期間2年半
マウスピース90枚
治療期間1年
マウスピース30枚
新着情報